Our Service

Teeth Whitening

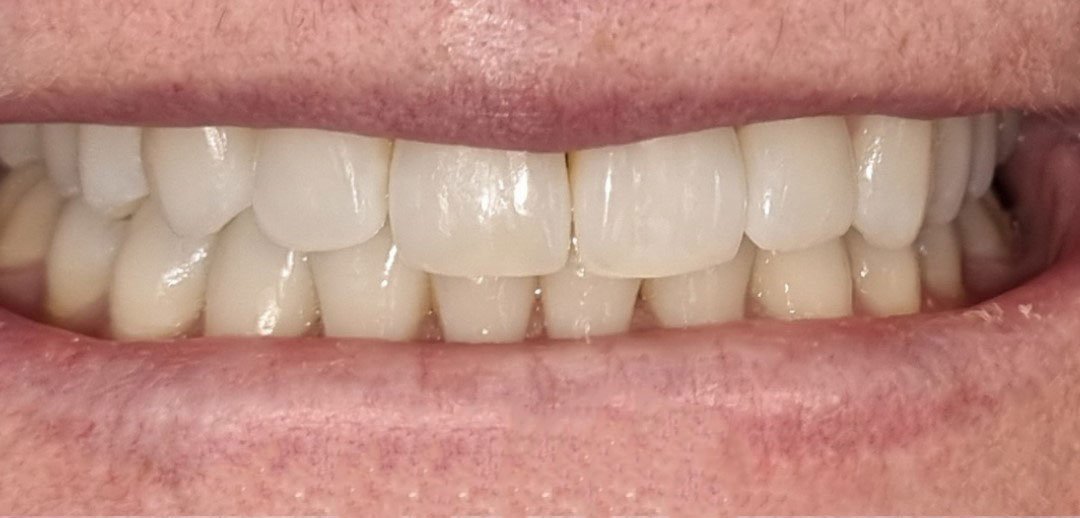
Professional Teeth Whitening

Achieve the brightest and most dazzling smile with our cutting-edge teeth whitening services, positioning us as the number one choice for those seeking radiant smiles. Our advanced techniques and state-of-the-art technology set us apart in the competitive landscape of teeth whitening. With a commitment to excellence, our professional team ensures that every treatment is tailored to provide optimal results, making us the undisputed leader in the field.

Our advanced techniques and state-of-the-art technology set us apart in the competitive landscape of teeth whitening.

Achieve the brightest and most dazzling smile with our cutting-edge teeth whitening services, positioning us as the number one choice for those seeking radiant smiles. With a commitment to excellence, our professional team ensures that every treatment is tailored to provide optimal results, making us the undisputed leader in the field.